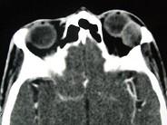
女,36岁,左眼眶外上部可触及一无痛性包块有2年,眼球向内下方突出,CT检查如图,最可能诊断为()A.泪腺良性混合瘤B.泪腺恶性上皮性...

作者: rantiku 人气: - 评论: 0
问题 女,36岁,左眼眶外上部可触及一无痛性包块有2年,眼球向内下方突出,CT检查如图,最可能诊断为()
选项 A.泪腺良性混合瘤 B.泪腺恶性上皮性肿瘤 C.炎性假瘤 D.淋巴瘤 E.淋巴瘤样增生
答案 A
解析

猜你喜欢

发表评论
更多 网友评论0 条评论)
暂无评论

访问排行

Copyright © 2012-2014 恰考网 Inc. 保留所有权利。 Powered by tikuer.com

页面耗时0.0381秒, 内存占用1.03 MB, Cache:redis,访问数据库19次