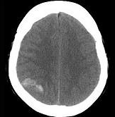
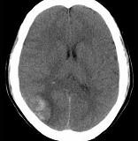
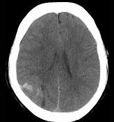
男,37岁,头痛、头晕1年余,加重3天,CT检查如图所示,最可能的诊断为()A.脑出血B.脑血管畸形并出血C.脑膜瘤并出血D.颅内...

作者: rantiku 人气: - 评论: 0
问题 男,37岁,头痛、头晕1年余,加重3天,CT检查如图所示,最可能的诊断为()
选项 A.脑出血 B.脑血管畸形并出血 C.脑膜瘤并出血 D.颅内动脉瘤 E.转移瘤并出血
答案 C
解析

猜你喜欢

发表评论
更多 网友评论0 条评论)
暂无评论

访问排行

Copyright © 2012-2014 恰考网 Inc. 保留所有权利。 Powered by tikuer.com

页面耗时0.0353秒, 内存占用1.03 MB, Cache:redis,访问数据库20次