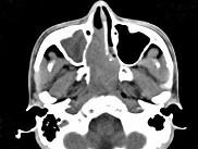
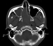
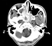
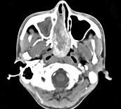
男,20岁,头痛、鼻塞、鼻出血,CT如图所示,最可能诊断为()A.鼻咽癌B.巨大的鼻息肉C.鼻咽纤维血管瘤D.鼻咽神经纤维瘤 ...

作者: rantiku 人气: - 评论: 0
问题 男,20岁,头痛、鼻塞、鼻出血,CT如图所示,最可能诊断为()
选项 A.鼻咽癌 B.巨大的鼻息肉 C.鼻咽纤维血管瘤 D.鼻咽神经纤维瘤 E.鼻咽腺样体增生
答案 C
解析

猜你喜欢

发表评论
更多 网友评论0 条评论)
暂无评论

访问排行

Copyright © 2012-2014 恰考网 Inc. 保留所有权利。 Powered by tikuer.com

页面耗时0.0384秒, 内存占用1.03 MB, Cache:redis,访问数据库19次