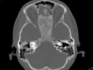
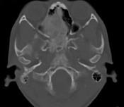
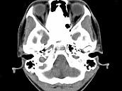
女,17岁,鼻阻塞、头痛两年.如图所示符合筛骨病变最可能的诊断是()A.成骨肉瘤骨B.纤维异常增殖症C.软骨瘤D.骨瘤E....

作者: rantiku 人气: - 评论: 0
问题 女,17岁,鼻阻塞、头痛两年.如图所示符合筛骨病变最可能的诊断是()
选项 A.成骨肉瘤骨 B.纤维异常增殖症 C.软骨瘤 D.骨瘤 E.骨化性纤维瘤
答案 E
解析

猜你喜欢

发表评论
更多 网友评论0 条评论)
暂无评论

访问排行

Copyright © 2012-2014 恰考网 Inc. 保留所有权利。 Powered by tikuer.com

页面耗时0.1273秒, 内存占用1.03 MB, Cache:redis,访问数据库18次