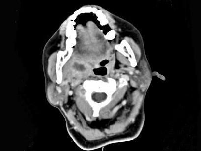
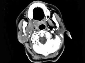
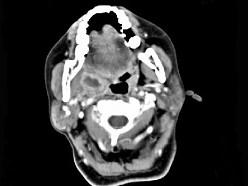
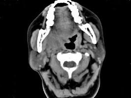
女,52岁,咽喉部疼痛半个月,伴低热,CT如图所示,可能诊断为 ( )A、咽旁淋巴瘤B、咽旁转移癌C、咽部神经鞘瘤D、鼻咽血管...

作者: rantiku 人气: - 评论: 0
问题 女,52岁,咽喉部疼痛半个月,伴低热,CT如图所示,可能诊断为 ( )
选项 A、咽旁淋巴瘤 B、咽旁转移癌 C、咽部神经鞘瘤 D、鼻咽血管纤维瘤 E、咽旁脓肿
答案 E
解析

猜你喜欢

发表评论
更多 网友评论0 条评论)
暂无评论

访问排行

Copyright © 2012-2014 恰考网 Inc. 保留所有权利。 Powered by tikuer.com

页面耗时0.0307秒, 内存占用1.03 MB, Cache:redis,访问数据库19次