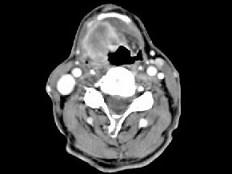
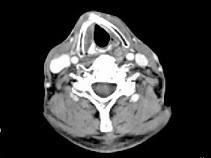
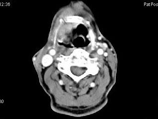
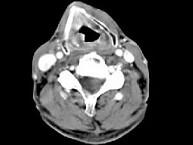
男,63岁,咽喉部不适约一年,近2个月经常咳嗽,痰中带有血丝,CT如图所示,应诊断为 ( )A、声门上型喉癌B、混合型喉癌C、声门...

作者: rantiku 人气: - 评论: 0
问题 男,63岁,咽喉部不适约一年,近2个月经常咳嗽,痰中带有血丝,CT如图所示,应诊断为 ( )
选项 A、声门上型喉癌 B、混合型喉癌 C、声门型喉癌 D、声门下型喉癌 E、梨状窝癌
答案 A
解析

猜你喜欢

发表评论
更多 网友评论0 条评论)
暂无评论

访问排行

Copyright © 2012-2014 恰考网 Inc. 保留所有权利。 Powered by tikuer.com

页面耗时0.0841秒, 内存占用1.03 MB, Cache:redis,访问数据库14次