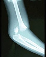
图示骨折,最常见的并发症是 ( )A、骨折局部感染B、脂肪栓塞C、损伤性休克D、血管神经损伤E、肱骨下端缺血性坏死

作者: rantiku 人气: - 评论: 0
问题 图示骨折,最常见的并发症是 ( )
选项 A、骨折局部感染 B、脂肪栓塞 C、损伤性休克 D、血管神经损伤 E、肱骨下端缺血性坏死
答案 D
解析

猜你喜欢

发表评论
更多 网友评论0 条评论)
暂无评论

访问排行

Copyright © 2012-2014 恰考网 Inc. 保留所有权利。 Powered by tikuer.com

页面耗时0.0499秒, 内存占用1.03 MB, Cache:redis,访问数据库14次