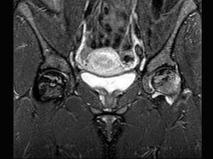
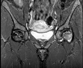
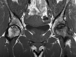
女,34岁,双侧髋部疼痛,结合图像,最可能的诊断是 ( )A、股骨头缺血坏死B、痛风C、类风湿关节炎D、髋关节退行性变E、...

作者: rantiku 人气: - 评论: 0
问题 女,34岁,双侧髋部疼痛,结合图像,最可能的诊断是 ( )
选项 A、股骨头缺血坏死 B、痛风 C、类风湿关节炎 D、髋关节退行性变 E、未见异常
答案 A
解析

猜你喜欢

发表评论
更多 网友评论0 条评论)
暂无评论

访问排行

Copyright © 2012-2014 恰考网 Inc. 保留所有权利。 Powered by tikuer.com

页面耗时0.0379秒, 内存占用1.03 MB, Cache:redis,访问数据库18次