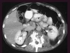
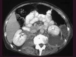
男,64岁,发热,腰部疼痛半月余,请结合影像学检查,选出最可能的诊断 ( )A、脊椎骨髓瘤B、脊椎骨髓炎C、椎体压缩性骨折D、脊椎转移...

作者: rantiku 人气: - 评论: 0
问题 男,64岁,发热,腰部疼痛半月余,请结合影像学检查,选出最可能的诊断 ( )
选项 A、脊椎骨髓瘤 B、脊椎骨髓炎 C、椎体压缩性骨折 D、脊椎转移瘤 E、脊椎结核
答案 B
解析

猜你喜欢

发表评论
更多 网友评论0 条评论)
暂无评论

访问排行

Copyright © 2012-2014 恰考网 Inc. 保留所有权利。 Powered by tikuer.com

页面耗时0.0371秒, 内存占用1.03 MB, Cache:redis,访问数据库19次