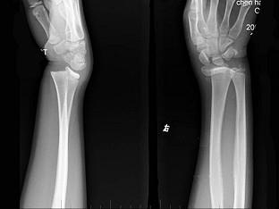
根据所提供图像,选择最佳选项 ( )A、舟骨骨折B、骺离骨折C、Smith骨折D、未见异常E、Colles骨折

作者: rantiku 人气: - 评论: 0
问题 根据所提供图像,选择最佳选项 ( )
选项 A、舟骨骨折 B、骺离骨折 C、Smith骨折 D、未见异常 E、Colles骨折
答案 B
解析

猜你喜欢

发表评论
更多 网友评论0 条评论)
暂无评论

访问排行

Copyright © 2012-2014 恰考网 Inc. 保留所有权利。 Powered by tikuer.com

页面耗时0.0463秒, 内存占用1.03 MB, Cache:redis,访问数据库19次