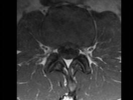
男,45岁,背部隐痛半年余,请结合影像学检查,选出最可能的诊断 ( )A、椎间盘突出B、神经根鞘囊肿C、硬膜外纤维化D、椎管内...

作者: rantiku 人气: - 评论: 0
问题 男,45岁,背部隐痛半年余,请结合影像学检查,选出最可能的诊断 ( )
选项 A、椎间盘突出 B、神经根鞘囊肿 C、硬膜外纤维化 D、椎管内肿瘤 E、椎间盘炎
答案 A
解析

猜你喜欢

发表评论
更多 网友评论0 条评论)
暂无评论

访问排行

Copyright © 2012-2014 恰考网 Inc. 保留所有权利。 Powered by tikuer.com

页面耗时0.0368秒, 内存占用1.03 MB, Cache:redis,访问数据库20次