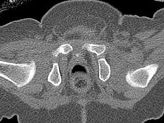
男,3岁,走路跛行,两下肢不等长,左脚外展受限,结合图像,最可能的诊断是 ( )A、先天性髋内翻B、髋关节结核C、髋关节后脱位D、髋关...

作者: rantiku 人气: - 评论: 0
问题 男,3岁,走路跛行,两下肢不等长,左脚外展受限,结合图像,最可能的诊断是 ( )
选项 A、先天性髋内翻 B、髋关节结核 C、髋关节后脱位 D、髋关节中心脱位 E、髋关节前脱位
答案 C
解析

猜你喜欢

发表评论
更多 网友评论0 条评论)
暂无评论

访问排行

Copyright © 2012-2014 恰考网 Inc. 保留所有权利。 Powered by tikuer.com

页面耗时0.0530秒, 内存占用1.03 MB, Cache:redis,访问数据库13次