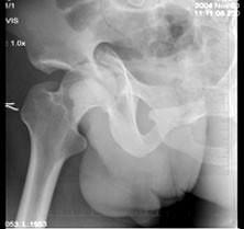
32岁男性患者,因车祸致右髋关节肿痛,活动受限摄片如图示,最佳诊断是 ( )A、骨盆Ⅳ型骨折B、以上都不是C、骨盆Ⅱ型骨折D、骨盆Ⅲ型骨折...

作者: rantiku 人气: - 评论: 0
问题 32岁男性患者,因车祸致右髋关节肿痛,活动受限摄片如图示,最佳诊断是 ( )
选项 A、骨盆Ⅳ型骨折 B、以上都不是 C、骨盆Ⅱ型骨折 D、骨盆Ⅲ型骨折 E、骨盆Ⅰ型骨折
答案 A
解析

猜你喜欢

发表评论
更多 网友评论0 条评论)
暂无评论

访问排行

Copyright © 2012-2014 恰考网 Inc. 保留所有权利。 Powered by tikuer.com

页面耗时0.0351秒, 内存占用1.03 MB, Cache:redis,访问数据库20次