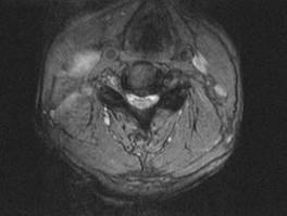
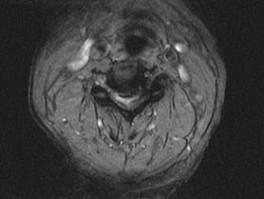
男,65岁,颈部疼痛,双下肢无力3月余,请结合影像学检查,选出最可能的诊断 ( )A、小关节面综合征B、椎管狭窄C、脊膜瘤D、...

作者: rantiku 人气: - 评论: 0
问题 男,65岁,颈部疼痛,双下肢无力3月余,请结合影像学检查,选出最可能的诊断 ( )
选项 A、小关节面综合征 B、椎管狭窄 C、脊膜瘤 D、脊膜膨出 E、脊髓空洞症
答案 B
解析

猜你喜欢

发表评论
更多 网友评论0 条评论)
暂无评论

访问排行

Copyright © 2012-2014 恰考网 Inc. 保留所有权利。 Powered by tikuer.com

页面耗时0.0516秒, 内存占用1.03 MB, Cache:redis,访问数据库17次