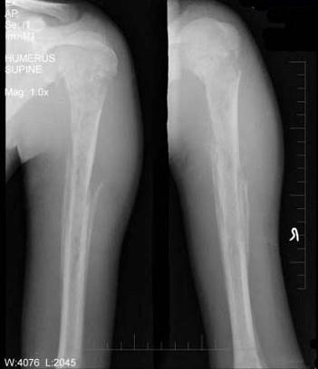
15岁男性患者,畏寒,高热2周入院摄片如图所示,下列诊断正确的是 ( )A、Ewing肉瘤B、以上都不是C、慢性化脓性骨髓炎D、溶骨性骨肉...

作者: rantiku 人气: - 评论: 0
问题 15岁男性患者,畏寒,高热2周入院摄片如图所示,下列诊断正确的是 ( )
选项 A、Ewing肉瘤 B、以上都不是 C、慢性化脓性骨髓炎 D、溶骨性骨肉瘤 E、急性化脓性骨髓炎
答案 E
解析

猜你喜欢

发表评论
更多 网友评论0 条评论)
暂无评论

访问排行

Copyright © 2012-2014 恰考网 Inc. 保留所有权利。 Powered by tikuer.com

页面耗时0.0390秒, 内存占用1.02 MB, Cache:redis,访问数据库14次