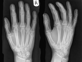
女,请根据其正常手的影像图像,判断其最可能的年龄 ( )A、47岁左右B、37岁左右C、57岁左右D、17岁左右E、67岁左右

作者: rantiku 人气: - 评论: 0
问题 女,请根据其正常手的影像图像,判断其最可能的年龄 ( )
选项 A、47岁左右 B、37岁左右 C、57岁左右 D、17岁左右 E、67岁左右
答案 D
解析

猜你喜欢

发表评论
更多 网友评论0 条评论)
暂无评论

访问排行

Copyright © 2012-2014 恰考网 Inc. 保留所有权利。 Powered by tikuer.com

页面耗时0.0402秒, 内存占用1.03 MB, Cache:redis,访问数据库20次