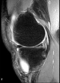
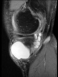
男,21岁,膝关节疼痛,行走困难,曾有外伤史,请结合所提供的图像,选择最佳选项 ( )A、未见异常B、前十字韧带撕裂与巨大半月板囊肿 ...

作者: rantiku 人气: - 评论: 0
问题 男,21岁,膝关节疼痛,行走困难,曾有外伤史,请结合所提供的图像,选择最佳选项 ( )
选项 A、未见异常 B、前十字韧带撕裂与巨大半月板囊肿 C、内侧半月板撕裂 D、巨大半月板囊肿 E、内侧半月板撕裂与巨大半月板囊肿
答案 E
解析

猜你喜欢

发表评论
更多 网友评论0 条评论)
暂无评论

访问排行

Copyright © 2012-2014 恰考网 Inc. 保留所有权利。 Powered by tikuer.com

页面耗时0.0399秒, 内存占用1.03 MB, Cache:redis,访问数据库20次