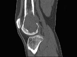
患者,女,38岁,因右大腿远端部有疼痛,可摸到肿块,请结合所提供图像,选择最佳选项 ( )A、动脉瘤样骨囊肿B、骨巨细胞瘤C、骨囊肿D...

作者: rantiku 人气: - 评论: 0
问题 患者,女,38岁,因右大腿远端部有疼痛,可摸到肿块,请结合所提供图像,选择最佳选项 ( )
选项 A、动脉瘤样骨囊肿 B、骨巨细胞瘤 C、骨囊肿 D、纤维异常增殖症 E、非骨化性纤维瘤
答案 B
解析

猜你喜欢

发表评论
更多 网友评论0 条评论)
暂无评论

访问排行

Copyright © 2012-2014 恰考网 Inc. 保留所有权利。 Powered by tikuer.com

页面耗时0.0589秒, 内存占用1.03 MB, Cache:redis,访问数据库19次