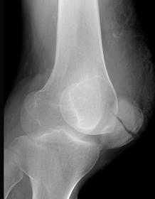
21岁男性,在赛跑途中突然闻及左膝撕裂声,然后倒地,入院查体左膝不能主动伸直,X线片如图所示,造成骨折的原因是 ( )A、直接暴力B、肌肉拉力...

作者: rantiku 人气: - 评论: 0
问题 21岁男性,在赛跑途中突然闻及左膝撕裂声,然后倒地,入院查体左膝不能主动伸直,X线片如图所示,造成骨折的原因是 ( )
选项 A、直接暴力 B、肌肉拉力 C、病理性骨折 D、间接暴力 E、积累性劳损
答案 B
解析

猜你喜欢

发表评论
更多 网友评论0 条评论)
暂无评论

访问排行

Copyright © 2012-2014 恰考网 Inc. 保留所有权利。 Powered by tikuer.com

页面耗时0.0626秒, 内存占用1.03 MB, Cache:redis,访问数据库19次