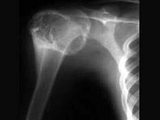
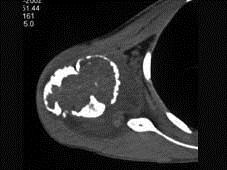
男,29岁,右肩肿物4年,质地硬,压痛不明显,请结合图像,选择最佳答案 ( )A、巨细胞瘤B、软骨肉瘤C、骨转移瘤D、成软骨细...

作者: rantiku 人气: - 评论: 0
问题 男,29岁,右肩肿物4年,质地硬,压痛不明显,请结合图像,选择最佳答案 ( )
选项 A、巨细胞瘤 B、软骨肉瘤 C、骨转移瘤 D、成软骨细胞瘤 E、结核
答案 D
解析

猜你喜欢

发表评论
更多 网友评论0 条评论)
暂无评论

访问排行

Copyright © 2012-2014 恰考网 Inc. 保留所有权利。 Powered by tikuer.com

页面耗时0.0421秒, 内存占用1.03 MB, Cache:redis,访问数据库20次