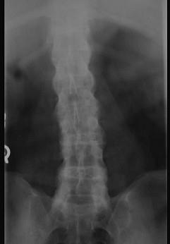
男,21岁,下腰不适,晨起加重半年余,X线检查如图,请选出最可能的诊断 ( )A、化脓性脊柱炎B、阻滞椎C、脊椎退行性变D、强...

作者: rantiku 人气: - 评论: 0
问题 男,21岁,下腰不适,晨起加重半年余,X线检查如图,请选出最可能的诊断 ( )
选项 A、化脓性脊柱炎 B、阻滞椎 C、脊椎退行性变 D、强直性脊柱炎 E、类风湿关节炎
答案 D
解析

猜你喜欢

发表评论
更多 网友评论0 条评论)
暂无评论

访问排行

Copyright © 2012-2014 恰考网 Inc. 保留所有权利。 Powered by tikuer.com

页面耗时0.0538秒, 内存占用1.03 MB, Cache:redis,访问数据库20次