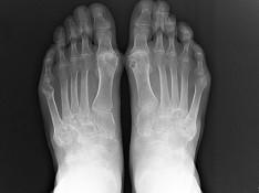
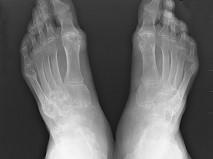
男,72岁,手足多个小关节红肿热痛,并压痛明显,化验:白细胞升高,血沉增快,血尿酸升高,请结合所提供图像,选择最佳选项 ( )A、假痛风B...

作者: rantiku 人气: - 评论: 0
问题 男,72岁,手足多个小关节红肿热痛,并压痛明显,化验:白细胞升高,血沉增快,血尿酸升高,请结合所提供图像,选择最佳选项 ( )
选项 A、假痛风 B、滑膜炎 C、退行性骨关节病 D、痛风性关节炎 E、类风湿关节炎
答案 D
解析

猜你喜欢

发表评论
更多 网友评论0 条评论)
暂无评论

访问排行

Copyright © 2012-2014 恰考网 Inc. 保留所有权利。 Powered by tikuer.com

页面耗时0.0350秒, 内存占用1.03 MB, Cache:redis,访问数据库20次