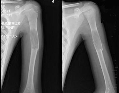
13岁男性患者,因轻微外伤后感左肱骨上部疼痛,软组织肿胀,摄片见左肱骨上段局限性骨质沿髓腔膨胀性破坏,骨皮质变薄,部分骨皮质不连续,最可能的诊断是 ( )...

作者: rantiku 人气: - 评论: 0
问题 13岁男性患者,因轻微外伤后感左肱骨上部疼痛,软组织肿胀,摄片见左肱骨上段局限性骨质沿髓腔膨胀性破坏,骨皮质变薄,部分骨皮质不连续,最可能的诊断是 ( )
选项 A、左肱骨巨细胞瘤伴病理性骨折 B、左肱骨嗜酸性肉芽肿伴病理性骨折 C、左肱骨骨囊肿伴病理性骨折 D、左肱骨骨纤伴病理性骨折 E、左肱骨骨折
答案 C
解析

猜你喜欢

发表评论
更多 网友评论0 条评论)
暂无评论

访问排行

Copyright © 2012-2014 恰考网 Inc. 保留所有权利。 Powered by tikuer.com

页面耗时0.0366秒, 内存占用1.03 MB, Cache:redis,访问数据库20次