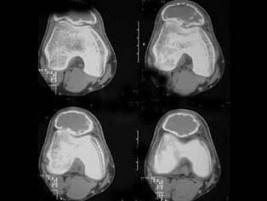
患者,男性,30岁,近2年来感右膝疼痛,活动后加重,2周前由于剧烈运动后,右膝活动受限,右膝压痛明显,有波动感,皮肤稍显红肿,以髌骨部明显,请结合所提供图...

作者: rantiku 人气: - 评论: 0
问题 患者,男性,30岁,近2年来感右膝疼痛,活动后加重,2周前由于剧烈运动后,右膝活动受限,右膝压痛明显,有波动感,皮肤稍显红肿,以髌骨部明显,请结合所提供图像,选择最佳选项 ( )
选项 A、骨巨细胞瘤 B、动脉瘤样骨囊肿 C、非骨化性纤维瘤 D、骨囊肿 E、纤维性骨皮质缺损
答案 B
解析

猜你喜欢

发表评论
更多 网友评论0 条评论)
暂无评论

访问排行

Copyright © 2012-2014 恰考网 Inc. 保留所有权利。 Powered by tikuer.com

页面耗时0.0335秒, 内存占用1.03 MB, Cache:redis,访问数据库18次