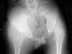
18岁男性患者右髋关节进行性肿胀,疼痛1个月余,曾拟为“化脓性关节炎”,经抗炎治疗,症状无明显好转,右髋关节正位片如图所示,最可能的诊断是 ( )A、...

作者: rantiku 人气: - 评论: 0
问题 18岁男性患者右髋关节进行性肿胀,疼痛1个月余,曾拟为“化脓性关节炎”,经抗炎治疗,症状无明显好转,右髋关节正位片如图所示,最可能的诊断是 ( )
选项 A、右髋关节化脓性关节炎 B、右髋关节Ewing肉瘤 C、右髋关节滑膜肉瘤 D、右髋关节纤维肉瘤 E、右髋关节软骨肉瘤
答案 C
解析

猜你喜欢

发表评论
更多 网友评论0 条评论)
暂无评论

访问排行

Copyright © 2012-2014 恰考网 Inc. 保留所有权利。 Powered by tikuer.com

页面耗时0.0345秒, 内存占用1.03 MB, Cache:redis,访问数据库19次