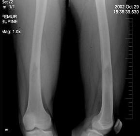
23岁男性患者,因右股骨下段肿胀、疼痛伴发热2月,来科行X线检查,其影像征象如示,最可能的诊断是 ( )A、组织细胞增生症B、骨肉瘤C、溶骨性...

作者: rantiku 人气: - 评论: 0
问题 23岁男性患者,因右股骨下段肿胀、疼痛伴发热2月,来科行X线检查,其影像征象如示,最可能的诊断是 ( )
选项 A、组织细胞增生症 B、骨肉瘤 C、溶骨性骨肉瘤 D、Ewing氏肉瘤 E、急性化脓性骨髓炎
答案 D
解析

猜你喜欢

发表评论
更多 网友评论0 条评论)
暂无评论

访问排行

Copyright © 2012-2014 恰考网 Inc. 保留所有权利。 Powered by tikuer.com

页面耗时0.0429秒, 内存占用1.03 MB, Cache:redis,访问数据库20次