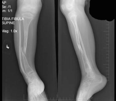
6岁,女性患者,右小腿疼痛,跛行5年,既往无明显外伤史,右小腿正侧位片如图所示,最可能的诊断是 ( )A、成骨发育不全B、进行性骨干发育异常 ...

作者: rantiku 人气: - 评论: 0
问题 6岁,女性患者,右小腿疼痛,跛行5年,既往无明显外伤史,右小腿正侧位片如图所示,最可能的诊断是 ( )
选项 A、成骨发育不全 B、进行性骨干发育异常 C、先天性骨梅毒 D、先天性假关节形成 E、先天性骨不连
答案 D
解析

猜你喜欢

发表评论
更多 网友评论0 条评论)
暂无评论
错误啦!

错误信息

  • 消息: [程序异常] : MISCONF Redis is configured to save RDB snapshots, but it's currently unable to persist to disk. Commands that may modify the data set are disabled, because this instance is configured to report errors during writes if RDB snapshotting fails (stop-writes-on-bgsave-error option). Please check the Redis logs for details about the RDB error.
  • 文件: /twcms/kongphp/cache/cache_redis.class.php
  • 位置: 第 85 行
    <?php echo 'KongPHP, Road to Jane.'; ?>