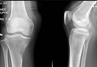
男,59岁,右小腿近端疼痛一年,活动障碍半年,有前列腺癌病史,请结合所提供图像,选择最佳答案 ( )A、骨肉瘤B、纤维肉瘤C、右胫骨骨转移...

作者: rantiku 人气: - 评论: 0
问题 男,59岁,右小腿近端疼痛一年,活动障碍半年,有前列腺癌病史,请结合所提供图像,选择最佳答案 ( )
选项 A、骨肉瘤 B、纤维肉瘤 C、右胫骨骨转移 D、软骨肉瘤 E、右胫骨结核
答案 C
解析

猜你喜欢

发表评论
更多 网友评论0 条评论)
暂无评论

访问排行

Copyright © 2012-2014 恰考网 Inc. 保留所有权利。 Powered by tikuer.com

页面耗时0.0420秒, 内存占用1.03 MB, Cache:redis,访问数据库20次