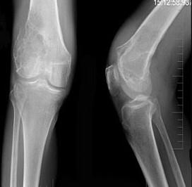
30岁男性患者,右膝关节酸胀,疼痛不适5个月,X线检查如图所示,下列诊断最为合适的是 ( )A、动脉瘤样骨囊肿B、Ewing肉瘤C、骨囊肿...

作者: rantiku 人气: - 评论: 0
问题 30岁男性患者,右膝关节酸胀,疼痛不适5个月,X线检查如图所示,下列诊断最为合适的是 ( )
选项 A、动脉瘤样骨囊肿 B、Ewing肉瘤 C、骨囊肿 D、骨血管瘤 E、骨巨细胞瘤
答案 E
解析

猜你喜欢

发表评论
更多 网友评论0 条评论)
暂无评论

访问排行

Copyright © 2012-2014 恰考网 Inc. 保留所有权利。 Powered by tikuer.com

页面耗时0.0582秒, 内存占用1.03 MB, Cache:redis,访问数据库18次