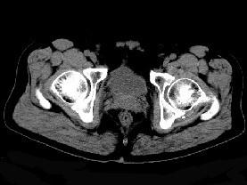
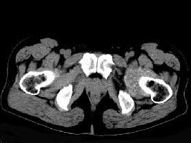
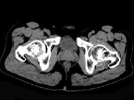
男,56岁,因左髋关节疼痛、无外伤史,体检左髋关节稍肿胀,请结合所提供图像,选择最佳选项 ( )A、左髋关节滑膜炎B、左髋关节类风湿关...

作者: rantiku 人气: - 评论: 0
问题 男,56岁,因左髋关节疼痛、无外伤史,体检左髋关节稍肿胀,请结合所提供图像,选择最佳选项 ( )
选项 A、左髋关节滑膜炎 B、左髋关节类风湿关节炎 C、左髋关节退行性改变 D、左髋关节痛风 E、左髋关节滑膜骨软骨瘤病
答案 E
解析

猜你喜欢

发表评论
更多 网友评论0 条评论)
暂无评论

访问排行

Copyright © 2012-2014 恰考网 Inc. 保留所有权利。 Powered by tikuer.com

页面耗时0.0339秒, 内存占用1.03 MB, Cache:redis,访问数据库19次