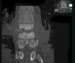
女,59岁,腰背部疼痛伴低热,乏力,请结合影像学检查,选出最可能的诊断 ( )A、椎体压缩骨折B、强直性脊柱炎C、化脓性脊柱炎D、脊椎...

作者: rantiku 人气: - 评论: 0
问题 女,59岁,腰背部疼痛伴低热,乏力,请结合影像学检查,选出最可能的诊断 ( )
选项 A、椎体压缩骨折 B、强直性脊柱炎 C、化脓性脊柱炎 D、脊椎结核 E、脊柱转移瘤
答案 D
解析

猜你喜欢

发表评论
更多 网友评论0 条评论)
暂无评论
错误啦!

错误信息

  • 消息: [程序异常] : MISCONF Redis is configured to save RDB snapshots, but it's currently unable to persist to disk. Commands that may modify the data set are disabled, because this instance is configured to report errors during writes if RDB snapshotting fails (stop-writes-on-bgsave-error option). Please check the Redis logs for details about the RDB error.
  • 文件: /twcms/kongphp/cache/cache_redis.class.php
  • 位置: 第 85 行
    <?php echo 'KongPHP, Road to Jane.'; ?>