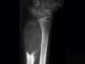
男性,17岁,近2年来感右前臂疼痛,肿胀,2周前由于疼痛加剧,查体右前臂压痛明显,皮肤稍显红肿,请结合所提供图像,选择最佳选项 ( )A、软骨...
相关内容:男性,年来,感右,前臂,疼痛,压痛,皮肤,稍显,红肿,图像,选项,软骨
猜你喜欢
- 在我国,法律适用过程中较少使用归纳推理的直接原因是( )。A.中国法制较为落后B.中国不存在判例法C.中国的归纳推理尚未得到法律的承认D.中...
- 各种可兴奋组织产生兴奋的共同标志是A.肌肉收缩B.腺体分泌C.产生神经冲动D.产生电位变化E.产生感觉
- 某企业签订进料加工复出口货物合同,2019年4月进口料件到岸价格折合人民币400万元,当月将部分完工产品出口,FOB价折合人民币500万元。该企业进料加工...
- 急性肾炎综合征包括____、____、____、____、____、____等临床表现。填空题:在每题中划有一个或多个空格,答题者在每一个空格处须写上...
- 某女,45岁,患痰火郁结之瘤数年,近一周末观肝阳眩晕与目珠夜痛,治当清肝明目,散结消肿,宜选用的药是()A.谷精草
B.天花粉
C.密蒙花
D.夏枯...
- 关于月经的临床表现,下列哪项错误A.月经是妇女生殖系统周期性变化的重要标志B.无排卵而有子宫出血称为无排卵性月经C.月经周期是指这次月经第1天...
- 患儿,1岁,弛张热,发热5天,咳嗽,气喘4天,用青霉素静点4天症状好转不明显,今日突然烦躁,呼吸困难,阵发性咳嗽,查体:体温39℃, R60次/分钟,心率...
- 下列对短期成本变动影响因素说法错误的是()。A.影响短期成本变动的因素包括劳动、资本等生产要素的价格
B.一般来说,其他条件不变情况下,工资和原材料...
- —腹壁静脉曲张患者,脐以上血流方向由下至 上,脐以下血流由上至下。该患者应考虑为A.上腔静脉阻塞
B.下腔静脉阻塞
C.门静脉高压或门静脉阻塞
D....
- 下列各句中加点的成语使用不恰当的一句是( )。