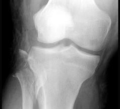
25岁男性,摩托车撞伤右膝外侧,X线片如图,考虑为腓骨小头骨折,检查发现踝关节不能主动背伸,可能并发 ( )A、腓总神经损伤B、腓骨长、短肌撕裂伤...

作者: rantiku 人气: - 评论: 0
问题 25岁男性,摩托车撞伤右膝外侧,X线片如图,考虑为腓骨小头骨折,检查发现踝关节不能主动背伸,可能并发 ( )
选项 A、腓总神经损伤 B、腓骨长、短肌撕裂伤 C、胫神经损伤 D、坐骨神经损 E、伤胫前肌撕裂伤
答案 A
解析

猜你喜欢

发表评论
更多 网友评论0 条评论)
暂无评论

访问排行

Copyright © 2012-2014 恰考网 Inc. 保留所有权利。 Powered by tikuer.com

页面耗时0.0570秒, 内存占用1.03 MB, Cache:redis,访问数据库18次