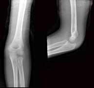
8岁男孩,因外伤后感左肘关节肿痛,活动受限半小时入院,行左肘关节正侧位摄片如图示,最佳的诊断是 ( )A、软组织挫伤B、左肱骨小头骨骺Ⅱ度分离...

作者: rantiku 人气: - 评论: 0
问题 8岁男孩,因外伤后感左肘关节肿痛,活动受限半小时入院,行左肘关节正侧位摄片如图示,最佳的诊断是 ( )
选项 A、软组织挫伤 B、左肱骨小头骨骺Ⅱ度分离 C、左肱骨小头骨骺Ⅰ度分离 D、左肱骨髁上细微骨折 E、左肱骨髁上骨折
答案 D
解析

猜你喜欢

发表评论
更多 网友评论0 条评论)
暂无评论

访问排行

Copyright © 2012-2014 恰考网 Inc. 保留所有权利。 Powered by tikuer.com

页面耗时0.0409秒, 内存占用1.03 MB, Cache:redis,访问数据库13次