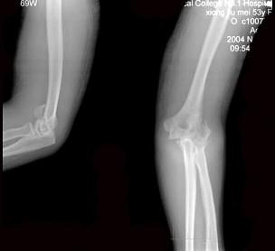
53岁女性患者,因摔倒时手掌着地,感右肘关节肿痛、畸形,X线摄片如图所示,下列正确的诊断是 ( )A、右肱骨小头骨骺分离B、右肱骨内髁骨折C、...

作者: rantiku 人气: - 评论: 0
问题 53岁女性患者,因摔倒时手掌着地,感右肘关节肿痛、畸形,X线摄片如图所示,下列正确的诊断是 ( )
选项 A、右肱骨小头骨骺分离 B、右肱骨内髁骨折 C、右肱骨内上髁骨折 D、右肱骨外上髁骨折 E、右肱骨外髁骨折
答案 D
解析

猜你喜欢

发表评论
更多 网友评论0 条评论)
暂无评论

访问排行

Copyright © 2012-2014 恰考网 Inc. 保留所有权利。 Powered by tikuer.com

页面耗时0.0428秒, 内存占用1.03 MB, Cache:redis,访问数据库20次