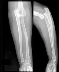
图示脱位的治疗 ( )A、手法复位,石膏托90°固定6周B、手法复位次日即开始局部按摩治疗C、手法复位,肘部绷带包扎,随意活动D、手法复位...

作者: rantiku 人气: - 评论: 0
问题 图示脱位的治疗 ( )
选项 A、手法复位,石膏托90°固定6周 B、手法复位次日即开始局部按摩治疗 C、手法复位,肘部绷带包扎,随意活动 D、手法复位,石膏托90°固定3周 E、均应手术
答案 D
解析

猜你喜欢

发表评论
更多 网友评论0 条评论)
暂无评论

访问排行

Copyright © 2012-2014 恰考网 Inc. 保留所有权利。 Powered by tikuer.com

页面耗时0.0378秒, 内存占用1.03 MB, Cache:redis,访问数据库18次