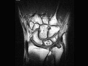
男,27 岁,外伤后尺腕部疼痛,结合图像,最可能的诊断是 ( )A、尺骨骨折B、三角纤维软骨复合体裂伤C、三角骨无菌性坏死D、三角...

作者: rantiku 人气: - 评论: 0
问题 男,27 岁,外伤后尺腕部疼痛,结合图像,最可能的诊断是 ( )
选项 A、尺骨骨折 B、三角纤维软骨复合体裂伤 C、三角骨无菌性坏死 D、三角骨骨折 E、未见异常
答案 B
解析

猜你喜欢

发表评论
更多 网友评论0 条评论)
暂无评论

访问排行

Copyright © 2012-2014 恰考网 Inc. 保留所有权利。 Powered by tikuer.com

页面耗时0.0394秒, 内存占用1.03 MB, Cache:redis,访问数据库14次