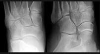
女,25岁,扭伤后足中部痛,结合图像,最可能的诊断是 ( )A、中间楔状骨骨折B、未见异常C、外侧楔状骨骨折D、足舟骨骨折...

作者: rantiku 人气: - 评论: 0
问题 女,25岁,扭伤后足中部痛,结合图像,最可能的诊断是 ( )
选项 A、中间楔状骨骨折 B、未见异常 C、外侧楔状骨骨折 D、足舟骨骨折 E、內侧楔状骨骨折
答案 E
解析

猜你喜欢

发表评论
更多 网友评论0 条评论)
暂无评论

访问排行

Copyright © 2012-2014 恰考网 Inc. 保留所有权利。 Powered by tikuer.com

页面耗时0.0404秒, 内存占用1.03 MB, Cache:redis,访问数据库20次