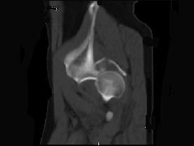
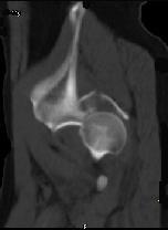
男,44岁,有外伤史,请结合所提供的图像,选择最佳答案 ( )A、左髂骨骨折B、左坐骨骨折C、左髋关节脱位D、左髋臼骨折并左髋...

作者: rantiku 人气: - 评论: 0
问题 男,44岁,有外伤史,请结合所提供的图像,选择最佳答案 ( )
选项 A、左髂骨骨折 B、左坐骨骨折 C、左髋关节脱位 D、左髋臼骨折并左髋关节脱位 E、左髋臼骨折
答案 D
解析

猜你喜欢

发表评论
更多 网友评论0 条评论)
暂无评论

访问排行

Copyright © 2012-2014 恰考网 Inc. 保留所有权利。 Powered by tikuer.com

页面耗时0.0416秒, 内存占用1.03 MB, Cache:redis,访问数据库19次