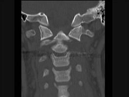
本病例有颈部外伤,主诉颈部疼痛,活动受限,请结合所提供CT图像,选出最佳选项 ( )A、寰枢关节脱位B、未见异常C、C前弓骨折...

作者: rantiku 人气: - 评论: 0
问题 本病例有颈部外伤,主诉颈部疼痛,活动受限,请结合所提供CT图像,选出最佳选项 ( )
选项 A、寰枢关节脱位 B、未见异常 C、C前弓骨折 D、C后弓骨折 E、C齿状突骨折
答案 E
解析

猜你喜欢

发表评论
更多 网友评论0 条评论)
暂无评论

访问排行

Copyright © 2012-2014 恰考网 Inc. 保留所有权利。 Powered by tikuer.com

页面耗时0.0498秒, 内存占用1.03 MB, Cache:redis,访问数据库20次