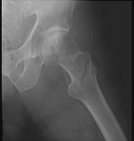
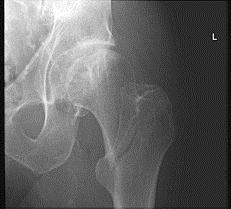
股骨转子间骨折(如图)容易发生的并发症是 ( )A、创伤性髋关节炎B、股骨头缺血性坏死C、损伤性骨化D、髋内翻畸形E、骨折不愈合

作者: rantiku 人气: - 评论: 0
问题 股骨转子间骨折(如图)容易发生的并发症是 ( )
选项 A、创伤性髋关节炎 B、股骨头缺血性坏死 C、损伤性骨化 D、髋内翻畸形 E、骨折不愈合
答案 D
解析

猜你喜欢

发表评论
更多 网友评论0 条评论)
暂无评论

访问排行

Copyright © 2012-2014 恰考网 Inc. 保留所有权利。 Powered by tikuer.com

页面耗时0.0669秒, 内存占用1.03 MB, Cache:redis,访问数据库15次