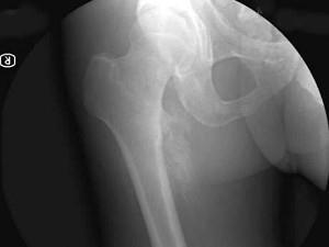
35岁男性患者,因截瘫后1年,右股骨上端出现肿块2个月,渐渐地长大,行X线摄片如下图,最可能的诊断是 ( )A、截瘫后软组织骨化B、以上都不是...

作者: rantiku 人气: - 评论: 0
问题 35岁男性患者,因截瘫后1年,右股骨上端出现肿块2个月,渐渐地长大,行X线摄片如下图,最可能的诊断是 ( )
选项 A、截瘫后软组织骨化 B、以上都不是 C、骨肉瘤 D、软骨肉瘤 E、骨化性肌炎
答案 A
解析

猜你喜欢

发表评论
更多 网友评论0 条评论)
暂无评论

访问排行

Copyright © 2012-2014 恰考网 Inc. 保留所有权利。 Powered by tikuer.com

页面耗时0.0402秒, 内存占用1.03 MB, Cache:redis,访问数据库20次