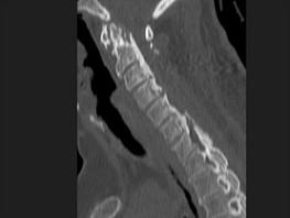
女,58岁,颈部疼痛,活动受限,请结合图像,选出最可能的诊断 ( )A、椎间盘突出B、局限性骨化性肌炎C、颈椎结核D、椎缘骨 ...

作者: rantiku 人气: - 评论: 0
问题 女,58岁,颈部疼痛,活动受限,请结合图像,选出最可能的诊断 ( )
选项 A、椎间盘突出 B、局限性骨化性肌炎 C、颈椎结核 D、椎缘骨 E、颈椎退行性变
答案 E
解析

猜你喜欢

发表评论
更多 网友评论0 条评论)
暂无评论

访问排行

Copyright © 2012-2014 恰考网 Inc. 保留所有权利。 Powered by tikuer.com

页面耗时0.0475秒, 内存占用1.03 MB, Cache:redis,访问数据库20次