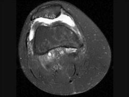
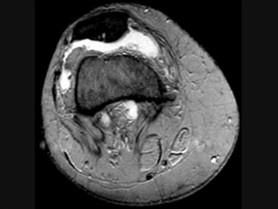
髌骨软骨软化症(如图)的治疗原则哪项是错误的 ( )A、非甾体类抗炎药B、一旦发现尽可能早手术治疗C、物理治疗D、关节内封闭 ...

作者: rantiku 人气: - 评论: 0
问题 髌骨软骨软化症(如图)的治疗原则哪项是错误的 ( )
选项 A、非甾体类抗炎药 B、一旦发现尽可能早手术治疗 C、物理治疗 D、关节内封闭 E、股四头肌锻炼
答案 B
解析

猜你喜欢

发表评论
更多 网友评论0 条评论)
暂无评论

访问排行

Copyright © 2012-2014 恰考网 Inc. 保留所有权利。 Powered by tikuer.com

页面耗时0.0812秒, 内存占用1.03 MB, Cache:redis,访问数据库19次