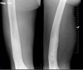
58岁男性,因右大腿酸痛,弯曲变形,既往有外伤史,右股骨摄片如图所示,下列诊断最为合适的是 ( )A、慢性硬化性骨髓炎B、以上都不是C、慢性骨...

作者: rantiku 人气: - 评论: 0
问题 58岁男性,因右大腿酸痛,弯曲变形,既往有外伤史,右股骨摄片如图所示,下列诊断最为合适的是 ( )
选项 A、慢性硬化性骨髓炎 B、以上都不是 C、慢性骨髓炎 D、骨质软化症 E、硬化性骨纤
答案 C
解析

猜你喜欢

发表评论
更多 网友评论0 条评论)
暂无评论

访问排行

Copyright © 2012-2014 恰考网 Inc. 保留所有权利。 Powered by tikuer.com

页面耗时0.0590秒, 内存占用1.03 MB, Cache:redis,访问数据库19次