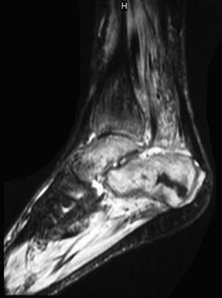
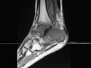
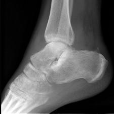
男,28岁,踝部肿痛,结合图像,最可能的诊断是 ( ).A、跟骨结核B、踝关节类风湿关节炎C、跟骨骨髓炎D、踝关节滑膜炎E...

作者: rantiku 人气: - 评论: 0
问题 男,28岁,踝部肿痛,结合图像,最可能的诊断是 ( ) .
选项 A、跟骨结核 B、踝关节类风湿关节炎 C、跟骨骨髓炎 D、踝关节滑膜炎 E、未见异常
答案 C
解析

猜你喜欢

发表评论
更多 网友评论0 条评论)
暂无评论

访问排行

Copyright © 2012-2014 恰考网 Inc. 保留所有权利。 Powered by tikuer.com

页面耗时0.0474秒, 内存占用1.03 MB, Cache:redis,访问数据库20次