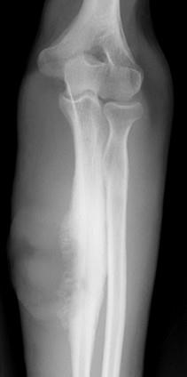
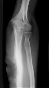
女,35岁,有药物滥用史,右前臂疼痛、肿胀、溃疡,请结合图像,选出最可能的诊断 ( )A、骨结核B、骨化性肌炎C、成骨肉瘤D、Ewin...

作者: rantiku 人气: - 评论: 0
问题 女,35岁,有药物滥用史,右前臂疼痛、肿胀、溃疡,请结合图像,选出最可能的诊断 ( )
选项 A、骨结核 B、骨化性肌炎 C、成骨肉瘤 D、Ewing肉瘤 E、化脓性骨髓炎
答案 E
解析

猜你喜欢

发表评论
更多 网友评论0 条评论)
暂无评论

访问排行

Copyright © 2012-2014 恰考网 Inc. 保留所有权利。 Powered by tikuer.com

页面耗时0.0427秒, 内存占用1.03 MB, Cache:redis,访问数据库20次