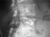
男,50岁,腰背痛,请结合图像,选出最可能的诊断 ( )A、L椎弓峡部不连及L滑脱B、L~S椎间盘突出C、L隐性脊椎裂D、移行椎E...
相关内容:背痛,图像,选出,可能,诊断,椎弓,峡部,不连,椎间盘,脊椎,移行
- 某人在乘车时遇到车祸,突然刹车时受伤,伤后右髋部疼痛,屈曲内收畸形,弹性固定。该病人首先考虑诊断A、骨盆骨折B、髋臼骨折C、股骨颈骨折D、...
- 腰椎间盘突出症是指 ( )A、软骨板松动B、黄韧带破裂C、后纵韧带破裂D、髓核突出E、纤维环破裂
- 女性34岁,滑跌,右小腿出现疼痛,肿胀,稍有外旋畸形,足背感觉麻木,足趾不能背伸,但趾屈活动尚存在,X线片示右胫骨下1/3,腓骨颈骨折,出现的并发症最可能...
- 右大腿被撞伤,下1/3向后成角,局部明显肿胀,不能扪及足背动脉搏动,足趾发凉,最大的可能是 ( )A、股骨下1/3骨折伴腘动脉损伤B、股骨下1/3骨折...
- 病历摘要:患者,女性,78岁,跌倒右手掌着地,腕部剧痛、活动障碍1小时。查体:右手呈枪刺状畸形,右腕部肿胀,压痛(+)。根据病史资料有可能是下列哪些疾...