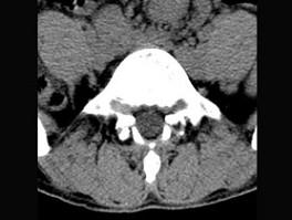
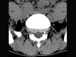
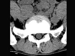
男,29岁,腰痛伴下肢轻度麻木,有外伤史,请结合所提供图像,选择最佳答案 ( )A、S向后滑脱B、未见异常C、L向后滑脱D、S...

作者: rantiku 人气: - 评论: 0
问题 男,29岁,腰痛伴下肢轻度麻木,有外伤史,请结合所提供图像,选择最佳答案 ( )
选项 A、S向后滑脱 B、未见异常 C、L向后滑脱 D、S向前滑脱 E、L向前滑脱
答案 E
解析

猜你喜欢

发表评论
更多 网友评论0 条评论)
暂无评论

访问排行

Copyright © 2012-2014 恰考网 Inc. 保留所有权利。 Powered by tikuer.com

页面耗时0.0368秒, 内存占用1.03 MB, Cache:redis,访问数据库20次