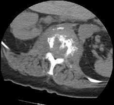
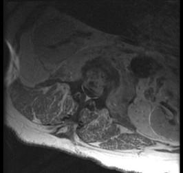
男,67岁,背痛,发热,寒战半月余,有镰状细胞贫血病,请结合影像学检查,选择最可能的诊断 ( )A、脊髓空洞症B、脊柱骨髓炎C、椎...

作者: rantiku 人气: - 评论: 0
问题 男,67岁,背痛,发热,寒战半月余,有镰状细胞贫血病,请结合影像学检查,选择最可能的诊断 ( )
选项 A、脊髓空洞症 B、脊柱骨髓炎 C、椎体压缩骨折 D、脊柱转移瘤 E、脊柱结核
答案 B
解析

猜你喜欢

发表评论
更多 网友评论0 条评论)
暂无评论

访问排行

Copyright © 2012-2014 恰考网 Inc. 保留所有权利。 Powered by tikuer.com

页面耗时0.0344秒, 内存占用1.03 MB, Cache:redis,访问数据库14次